Skip to main content

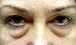
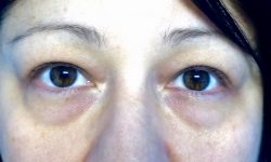
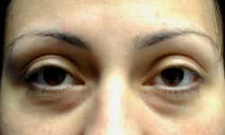
Eyelid Surgery (Blepharoplasty) Gallery

Thomas S. Taylor, MD, FACS

The Aesthetic Society American Society of Plastic Surgery Fellow American College of Surgeons American Board of Plastic Surgery ABMS MOC American Academy of Cosmetic Surgery

Contact Us

960 E Green St #214
Pasadena, CA 91106

Phone: (626) 577-7730

Schedule a Consultation

Connect with us

Get Directions